Tongue Tie: Before and After Photos
Frenuloplasty
View our results

Pre tongue surgery

tongue suction post surgery

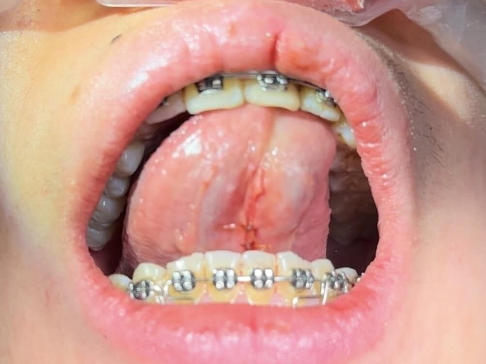
1 week post surgery follow up

More tongue tie release results
Frenuloplasty
Pre tongue tie surgery

1 week post surgery sutures pic
1 month post surgery
Posterior Tongue tie

Posterior tongue tie pre surgery

Posterior tongue tie Post surgery

1 Month Post Surgery

Lip & tongue tie release results
Pre surgery lip tie

1 month Post surgery lip tie

Pre surgery Tongue tie

1 month post surgery
Lip & tongue tie release results

Pre tongue tie surgery

1 Month post surgery
Pre Lip Tie Surgery

1 Month Post Surgery

Lip & tongue tie release results
Pre surgery lip tie

1 month Post surgery lip tie
Pre surgery Tongue tie

1 month post surgery
Lip & tongue tie release results
Pre Lip Tie Surgery
1 Month post surgery
Pre tongue tie surgery
